تقويم الأسنان

يعد تقويم الأسنان من الإنجازات الطبية والتجميلية التي تحقق تحسينًا واضحًا في صحة الفم وجمال الابتسامة، إنه ليس مجرد إجراء تجميلي، بل هي تقنية تهدف إلى تصحيح توجيه الأسنان وتحسين وظائف الفم، سنتعرف من خلال السطور القادمة على مفهوم تقويم الأسنان، وأهمية تقويم الأسنان، وكذلك لماذا تختار مركز A.CLINICS لتقويم الأسنان؟ فتابعوا معنا القراءة.

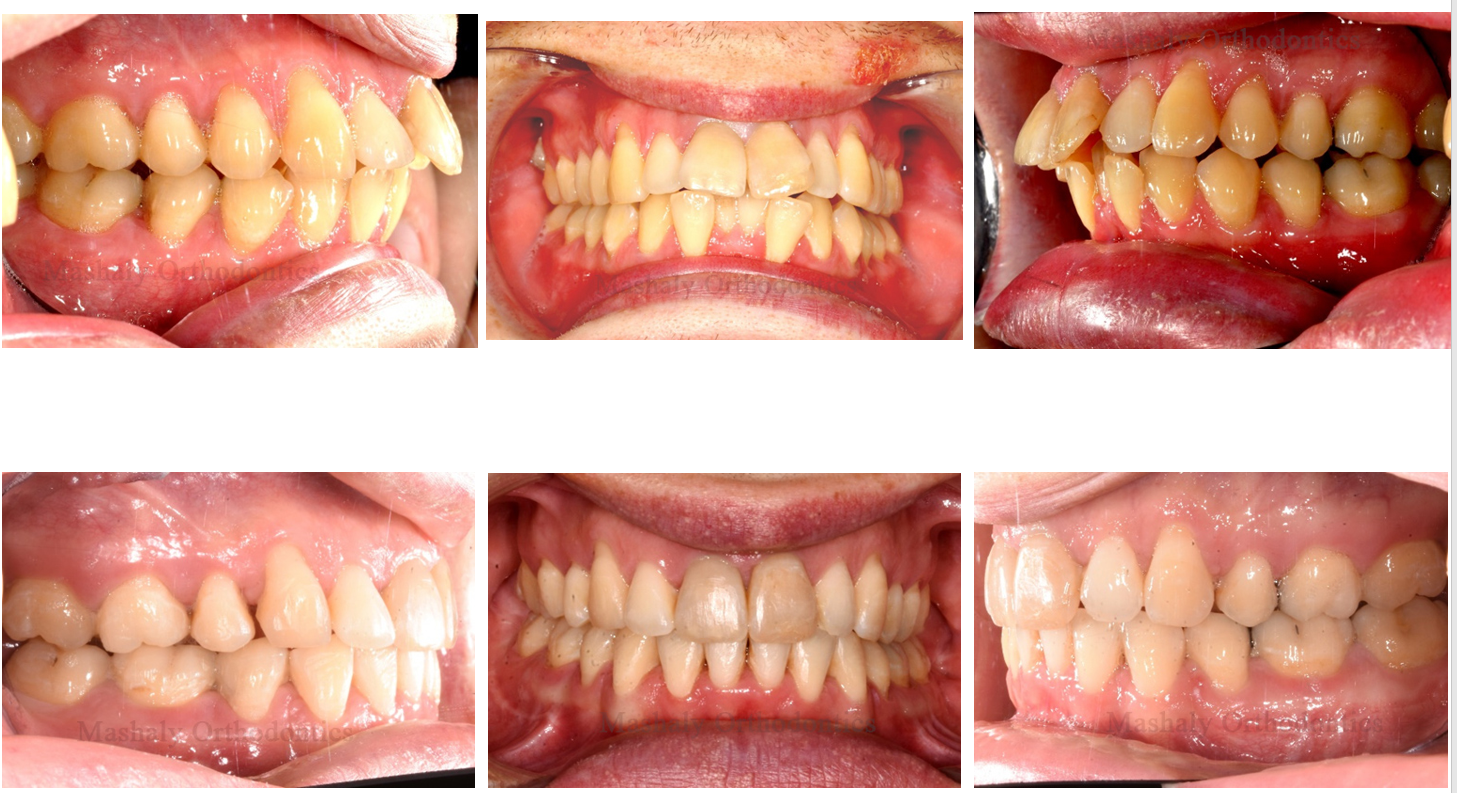
ما هو تقويم الأسنان (orthodontics)؟

 

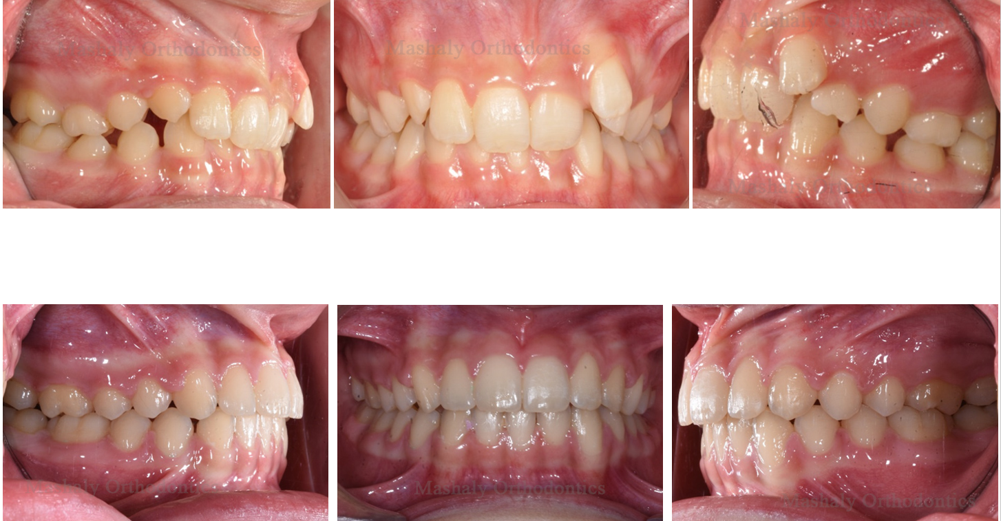
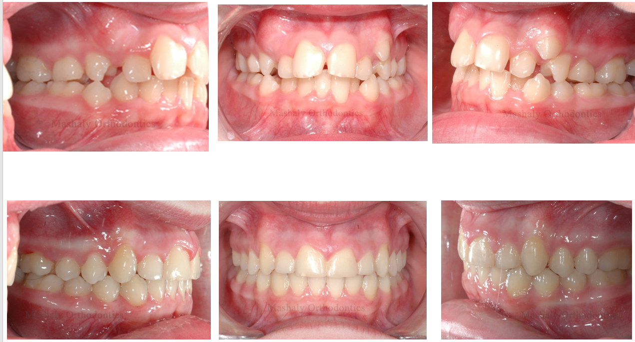
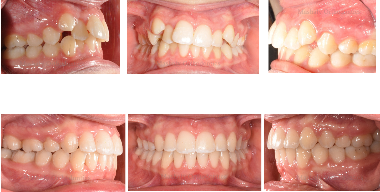
تقويم الأسنان هو أحد تخصصات طب الأسنان التي تساعد في علاج عدم المحاذاة الصحيحة للأسنان، وسوء إطباق الفكين، وغيرها من المشكلات الأخرى، حيث أن تقويم الأسنان لا يقتصر فقط على علاج المشكلات الجمالية بل يتم اللجوء إليه أيضًا لعلاج العديد من المشكلات الطبية مثل علاج الأسنان المغروزة في الفك، وغيرها من المشكلات الأخرى. 

أنواع تقويم الأسنان :

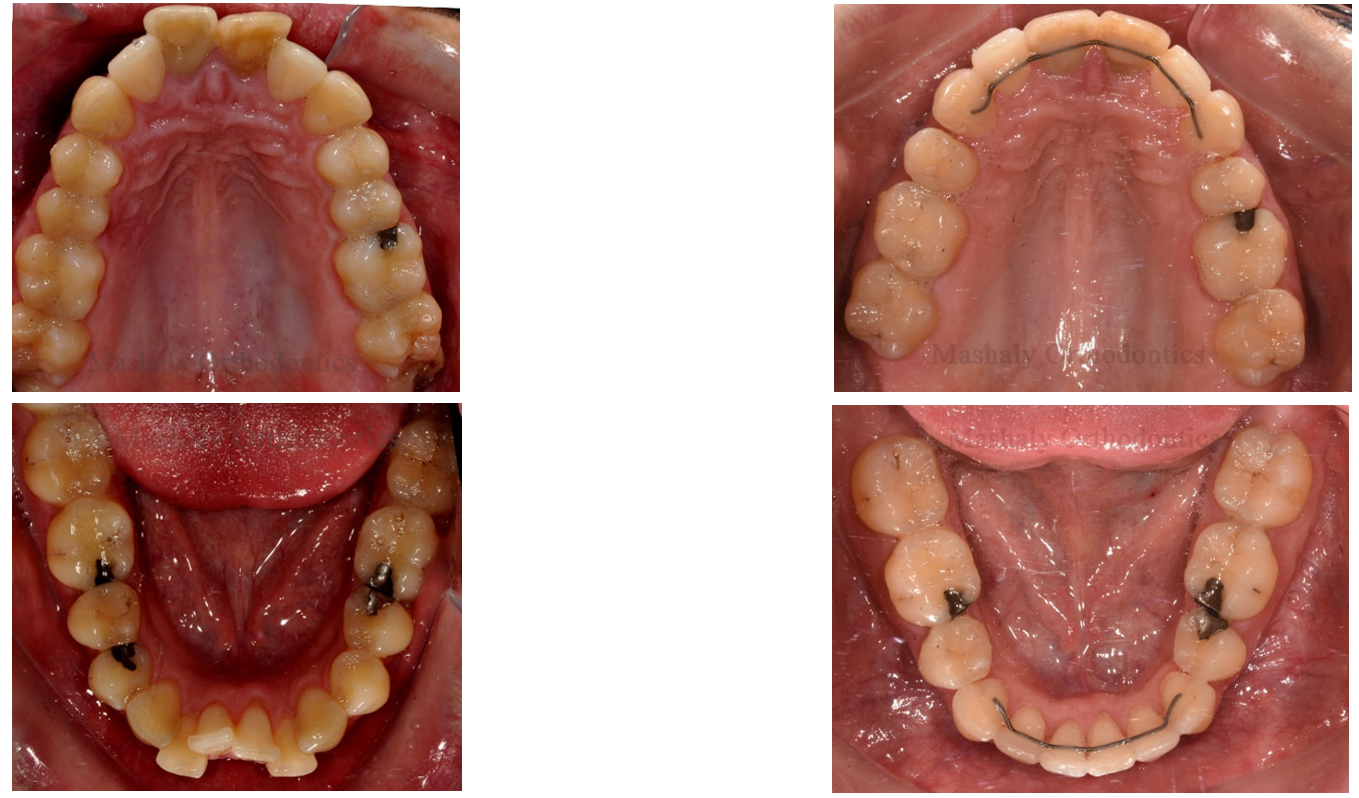
1.التقويم المعدنية التقليدية

 

التقويم المعدني التقليدي هي أكثر أنواع الأقواس شيوعًا وهي أصغر حجمًا وأكثر راحة اليوم من أي وقت مضى. تعمل الأقواس المعدنية المصنوعة من الفولاذ المقاوم للصدأ عالي الجودة على تقويم أسنانك باستخدام الأقواس المعدنية والأسلاك المقوسة. مع التقويم المعدني، لديك خيار إضافة الأشرطة المطاطية الملونة للحصول على ابتسامة أكثر تميزًا وملونة.

2. التقويم الخزفي


الأقواس الخزفية مصنوعة من مواد شفافة أقل وضوحًا على أسنانك من الأقواس المعدنية. لهذا السبب، يتم استخدام الأقواس الخزفية بشكل أساسي على المراهقين الأكبر سنًا والمرضى البالغين الذين لديهم مخاوف جمالية. على الرغم من أنها أقل وضوحًا من الناحية البصرية، إلا أنها تتطلب المزيد من الاهتمام بنظافة الفم لأن التقويم الخزفي أكبر من التقويم المعدني. العيب الوحيد للأقواس الخزفية هو أنها أكثر هشاشة، ويمكن أن يتغير لون الأربطة المرنة بين زيارات تقويم الأسنان مع بعض الأطعمة والتدخين.

 

3-التقويم الشفاف 

 

تستخدم أدوات التقويم الشفافة سلسلة من أدوات التقويم الشفافة والقابلة للإزالة والمريحة لتقويم أسنانك. لا يقتصر الأمر على أن المصففات أقل وضوحًا فحسب، بل إنها قابلة للإزالة، لذا يمكنك أن تأكل وتشرب ما تريد أثناء العلاج، بالإضافة إلى أن تنظيف الأسنان بالفرشاة والخيط أقل إزعاجًا. المصففات مريحة ولا تحتوي على أي معدن يسبب سحجات بالفم أثناء العلاج.

لماذا تختار مركز A.CLINICS لتقويم الأسنان؟ 

 

يعد مركز A.CLINICS أحد أفضل مراكز طب وتجميل الأسنان في مصر؛ وذلك لأنه يتميز بالعديد من المزايا التي تجعله الاختيار الأفضل ومن أبرز هذه المزايا ما يلي: 

  • لدينا خبرة واسعة في جميع تخصصات طب الأسنان. 

  • نعتمد على فريق طبي مدرب على اعلى مستوى. 

  • لدينا أحدث التقنيات والأدوات المستخدمة في مجال طب وتجميل الأسنان. 

  • لدينا جميع أنواع تقويم الأسنان التي يمكن تركيبها. 

  • نقدم مستوى خدمة على أعلى مستوى. 

  • نقدم خدمات المتابعة الدورية مع العميل. 

للحجز في مركز A.CLINICS يمكنك الاتصال بنا وحجز موعد من خلال رقم الهاتف أو من خدمة الرسائل النصية الموجودة على الموقع الإلكتروني، وسيتم الرد عليك مباشرة من قبل الفريق الطبي المختص لدينا.

 

تواصل معنا

01030101585